By Lorraine Dearnley, MMCP
Spring is in the air and young, sweet grasses are in abundance, which can bring the worry of laminitis for horse owners. For this month’s blog, we invited Lorraine Dearnley, MMCP and equine metabolic therapist in the United Kingdom, to lend her perspective on what horse owners should know with regard to laminitis, bodywork, and nutrition. This is a two-part blog post, so enjoy Part One below, and see Part Two here!
One of the most difficult diagnoses a horse owner can hear is laminitis. Several years ago, my own vet delivered this diagnosis for one of my ponies. Witnessing first-hand the level of pain and distress she experienced was deeply impactful, and it prompted me to seek a far deeper understanding of the condition. That experience set me on a path of learning, exploring not only how to support her recovery, but also how to help other horse owners reduce the risk of their horses and ponies suffering from this debilitating and often preventable disease.
This two-part blog will look at a variety of topics related to laminitis. In Part One, we will look at the following:
- What laminitis is
- Common causes of laminitis
- The stages of laminitis
- How to recognise some of the subtle signs
- What you can do if you suspect laminitis
- How The Masterson Method can help support your horse once they are over the acute stage
In Part Two of this series, we will look at feeding and long-term management for a horse with laminitis, as well as how The Masterson Method can help support your horse.
What is Laminitis?
Laminitis is the inflammation of the laminae, the microscopic, finger-like tissues that interlock like Velcro to suspend the coffin bone (also called the pedal bone or distal phalanx) inside the rigid hoof capsule, connecting it to the hoof wall.
This inflammation leads to a disruption of the bonds between the dermal and epidermal laminae, and can possibly cause small blood clots in the capillaries of the hoof, thereby altering the blood flow. Reduced blood flow means reduced oxygen in the tissues of the hoof, which will lead to damage and destruction of these tissues.
Ultimately, the laminae separate from the hoof wall, leading to the coffin bone shifting from its normal position. The coffin bone can rotate and move away from the hoof wall, and it can also undergo distal descent, where the entire bone moves downward relative to the hoof capsule.


Common Causes of Laminitis
There are many causes of laminitis and unfortunately a lot are manmade. Most people automatically think of insulin resistance/obesity but one of the most common causes is endotoxaemia which is basically an overload of the metabolism with toxins. This is not necessarily due to eating poisonous plants but can be due to toxin overload from acid-forming bacteria in the hindgut for a variety of reasons.
Some of the metabolic causes can be due to:
- Fructans in the grass – fructans are essentially sugar molecules (think “fructose”) that are abundant in cool season grasses. When they enter the large intestine in large amounts, they can lead to an increase in acid-forming bacteria. The knock-on effect of this is that the natural microbes are destroyed, leading to endotoxin release, which are absorbed by the horse and need excreting.
- Poisonous plants – plants such as Ragwort and Meadow Saffron are poisonous to horses and when digested can lead to an increase in endotoxins.
- Excess sugar and starch in grains – excess grain and high-sugar feeds can contribute to laminitis, particularly in horses with insulin resistance. Insulin resistance can go undiagnosed.
- Drug administration – medications such as sedatives, anaesthesia, or corticosteroids can place additional strain on the organs, particularly the kidneys, and can also increase endotoxins.Death of the intestinal natural microbiome – acidification of the intestinal environment leads to a change in the microbiome and an increase of acid-forming bacteria. This can be as a result of feeding haylage, horses not eating for periods longer than four hours, use of antibiotics, etc.
- Incorrect feeding practices – feeding things like cereals, chaff, haylage, large amounts of concentrated feed, or not feeding enough hay, etc. can trigger laminitis.
- Endophytes found in grass – endophytes are symbiotic fungi that live in grass. When grass gets ‘stressed’ from factors such as cold weather, drought, being eaten very short, being trampled, etc., the endophytes will proliferate, thereby increasing the ingested toxins.
The Main Stages of Laminitis
Subclinical Laminitis
There will be small changes internally, but the outward signs can be very subtle, so the condition may go undetected.
Acute Laminitis
The first signs of pain and lameness, which again can be subtle to start with. This is when the laminae are actually separating, which could last days or weeks, depending on the severity.
Chronic Laminitis
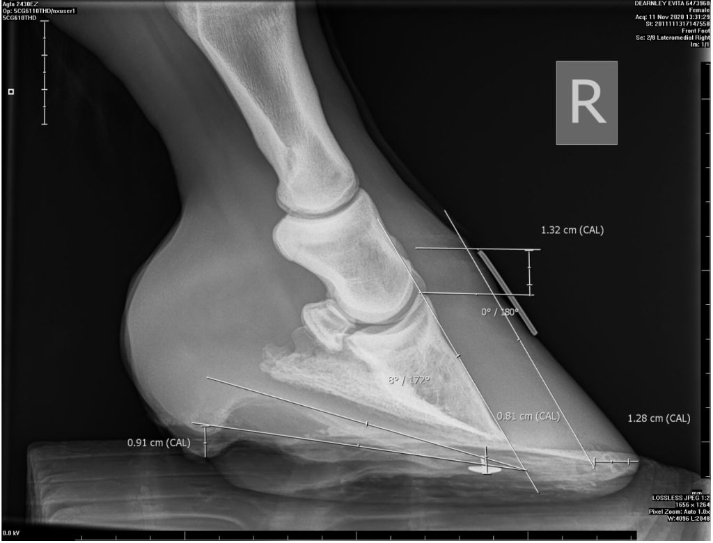
Changes to the internal hoof structures can be visible on x-rays and also on the outside of the hoof, such as with horizontal lines on the hoof wall. This can cause minor or severe issues depending on how much the coffin bone has rotated and/or descended.
Early Signs of Laminitis in Horses
Remember that the initial signs might not be that obvious, especially with subclinical laminitis, but if you suspect laminitis, it’s important to seek professional help from your vet, as well as your farrier/podiatrist as soon as possible.
Some of the more subtle signs include the following (note that these are not exclusive to laminitis):
- Preferring to walk on softer ground compared to hard/stony ground
- A shorter stride/stiff gait
- Struggling on tight turns
- Warm hooves (although temperature can fluctuate throughout the day)
- Bounding or unusually strong/throbbing/pounding digital pulse (It’s a good idea to know your horse’s normal digital pulse when they’re sound; I explain how to take this below)
- Increase in resting heart rate (see below how to check this)
In the acute stages they can also show:
- Weight shifting from side to side
- Sweating, elevated respiratory rate/heart rate
- Pain response to toe pressure with hoof testers
- Abnormal stance, usually shifting weight onto the hind end, and weight shifting off the front feet
- Lie down more than normal
As you’ll see in Part Two of this blog, not all laminitic horses show outward signs. But if you suspect laminitis in your horse you should always call a vet immediately.
How to Check Your Horse’s Digital Pulse

This photo shows the area in which to check the digital pulse. It is where the vein, artery and nerve bundle are situated, just below the fetlock, so it should be easy to feel. You might not always feel a pulse there when the blood pressure in the hoof capsule is normal, but check daily if possible, especially at times of high risk. You should check all four legs as laminitis can occur in any hoof. Also make sure not to use your thumb, as you might feel your own pulse and not the horse’s pulse!
How to Use a Stethoscope to Check Your Horse’s Heart Rate


As a horse owner, you will also want to know your horse’s heart rate. The photos above show how to check your horse’s heart rate using a stethoscope. You don’t need to buy an expensive one and it can be a worthwhile purchase. There are plenty of stethoscopes sold online so get a cheap one to practice with.
Make sure you take the heart rate on the left side of the horse, as the heart is closer to this side of the body. You need to place the stethoscope just behind the elbow and listen carefully for a ‘lub-dub’ sound. Each ‘lub-dub’ counts as one beat, so count how many beats there are in a minute, or you can also count the beats in 30 seconds and double them. You might need an assistant to hold the horse and also help with the timing until you have become proficient.
Try and take your horse’s heart rate regularly when they are at rest, so you get to know their ‘normal’ value. It is worth checking other horses if you can so you get more experience, and often larger horses have a lower resting heart rate than smaller ponies. Most horses and ponies will have a resting heart rate of around 30-40 beats per minute.
What To Do If You Suspect Laminitis
Early intervention is key. The first and most important step is to call the vet and get them to come out if you suspect laminitis. They can then decide on the course of action. Your vet might suggest working with a good farrier or equine podiatrist to help make the horse more comfortable, as well as changes to diet and turnout (the focus of Part Two of this blog series). Further tests including X-rays may be taken after the acute phase, to check for rotation or distal descent.
Depending on the symptoms, your horse might have to have a restricted area to move around in, have controlled amounts of forage, and be off the grass. At this point it is important to check what you are feeding the horse but still remember not to make any sudden dietary changes as this can cause even further stress to the internal microbiome. Aim to keep hay to between 1.5 and 2% of the normal bodyweight of the horse. You can also add straw to help give them something to chew; otherwise they may go long periods of time without eating anything. Try to make sure they have enough to eat over 24 hours so split the hay into slow feeder nets if possible.
Being an equine metabolic therapist, I feel it is important to educate horse owners about an appropriate diet and laminitis, which I’ll discuss more in Part Two.
Supporting Your Horse After the Acute Stage
Imagine how having sore feet would affect the rest of your body. To reduce the discomfort, you would naturally adjust the way you walk and carry yourself, which would place additional strain and tension on other areas of your body. The same principle applies to the horse. When their hooves are painful, they alter their posture and movement to compensate, often resulting in tension patterns that differ from their normal, healthy state.
Laminitis often affects the front feet more than the hind feet, so the horse will take more weight onto its hindquarters to try and relieve the pain. They might be struggling to turn and so they shift even more weight onto the hindquarters again. All of this will lead to a lot more tension in the hind end of the horse as well as tension in the shoulders, as they will brace their muscles to support their hooves.
How The Masterson Method Can Help
Once your horse is beyond the acute stage and has been stabilised through appropriate veterinary care, trimming, or shoeing, and management practices, ask your vet whether gentle bodywork may be appropriate.
If they say yes, there are some great Masterson Method techniques you can use with your horse. You need to take things slowly and not necessarily remove all the tension that has been built up as your horse might still need some compensatory patterns for muscular support, so it’s advisable to go slowly and apply the ‘less is more’ principle (see more about this and other Masterson Method principles in the Jim-isms blog post). Also, since they may be foot sore initially, you don’t want to pick up any leg, as more weight would then be shifted onto the supporting legs. The Bladder Meridian Technique is perfect to start with as the horse will only release what it can, and you don’t have to pick up any limb.


The Bladder Meridian can release a lot of tension in a subtle way.
The Hind End Points are also great, as often the shifting of weight onto the hind end, to relieve the front feet, can lead to accumulated tension.
When your horse is happy to stand with a front leg lifted, (again, you should check in with the vet first), some Scapula Releases can be helpful along with Lateral Cervical Flexion, as long as you stay under the brace and really pay attention to what your horse is telling you. Always watch the horse and stop if they start to brace. It would be much better to keep sessions short to start with until their feet and body are more comfortable. Don’t plan on doing a full body session as that could be too much for the horse to process.
Conclusion
Laminitis is a complex condition that often begins with subtle changes long before obvious lameness appears. Learning to recognise these early signs and listening to what your horse’s body may be telling you can make a significant difference to their comfort, recovery, and long-term health. My own experience showed me how easily these early clues can be missed, and how important early intervention and appropriate support truly are.
Working closely with your vet and hoof care professional is essential, and once your horse is comfortable, gentle bodywork can help release any unnecessary compensatory tension and support their overall wellbeing.
See also Part Two of this blog, where Lorraine explores feeding and management strategies that may help reduce the risk and support your horse for the future.
Lorraine Dearnley, MMCP has always loved horses but it was one of her ponies in particular that took her on a journey to become an MMCP. She qualified in 2017 and has continued her learning journey since then by learning more about metabolic/hindgut health and how to help the horse as a whole. She lives in the New Forest in the UK and enjoys riding out in the beautiful countryside on her New Forest pony. To find out more about Lorraine, visit her bio link above or her website, https://www.coppermead.co.uk.













